Gangnam Style Facial Fat Graft, What's the Difference?
2025-11-22
Facial fat grafting is a representative cosmetic procedure that restores volume and achieves a youthful effect.
However, the survival rate and duration of results after fat grafting can vary between clinics.
Discover the differences in fat grafting performed at Noonopi Plastic Surgery and the key factors for successful fat grafting.
1. What is Facial Fat Grafting?
Facial fat grafting is a procedure that restores volume by injecting fat into sunken areas caused by aging or congenital hollows. It is typically performed under sedation and involves the following steps:

▪︎Fat Harvesting : Fat is harvested from areas like the thighs or abdomen
▪︎Fat Purification : Impurities are removed via centrifugation
▪︎Fat Injection : Fat is injected in multiple layers throughout the target area
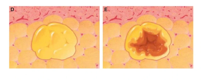
✔ Key to Fat Grafting: Survival Rate
Injected fat must receive a blood supply to settle stably. Therefore, injecting a large amount of fat in a single lump risks necrosis in the center.
✅ Correct Fat Injection Method:
Inject fat in multiple layers, distributed throughout the area.

🚫 Incorrect Method:
Injecting fat in a single, large lump → Increases risk of fat necrosis

2. Where Should Fat Be Harvested & Injected?
✔ Fat Harvesting Site
Fat can be harvested from anywhere on the body, but research shows fat from the lower abdomen or thighs typically has a higher survival rate. However, the optimal harvest site may vary depending on the individual's fat condition.

✔ Fat Injection Sites
Fat grafting can be applied to various areas of the face.
✅ Possible Areas:
▪︎Forehead
▪︎Under the eyes (dark circle improvement)
▪︎Temple
▪︎Cheek hollows
▪︎Above the eyes (improves eye hollows)
▪︎Lips
▪︎Nasolabial folds (noble area)

However, the fat injection technique and survival rate vary significantly based on the doctor's experience and skill, making hospital selection crucial.
3. Fillers vs. Fat Grafting: What's the Difference?

✔ Advantages & Disadvantages of Fillers
✅ Immediate volume effect
✅ Immediate shaping adjustments possible
🚫 May be absorbed over time, but some may remain (varies by manufacturer)
🚫 Existing fillers can negatively impact fat grafting results
✔ Fat Grafting Pros & Cons
✅ Biocompatible using your own fat
✅ Potential for semi-permanent results
🚫 Procedure time longer than fillers and requires harvesting process
🚫 Survival rate may vary depending on doctor's skill
💡Conclusion
While fillers have advantages for firm areas like the nose or chin, fat grafting is more recommended for achieving a youthful effect in areas like the eyes, cheeks, or forehead.
4. What is Nano Fat? (Nano Fat Transfer)
🔗Nano Fat is processed from existing fat into ultra-fine particles, creating a form rich in stem cells and growth factors.

✅ Advantages of Nano Fat Transfer:
▪︎Dark circle improvement effect
▪︎Promotes skin regeneration
▪︎Prevents lumpy fat grafting side effects
🔍 At Noonopi Plastic Surgery, we actively utilize nano fat transfer for dark circle treatment.
Below is a case of a patient who visited us after excessive fat removal during lower eyelid surgery to restore her youth.
We performed lower eyelid revision surgery combining nano fat transfer and standard fat grafting to improve under-eye dark circles and hollows.

5. What Sets Eyelid Height Plastic Surgery Clinic's Fat Grafting Apart
1) Equipment & Instrumentation
Eyelid Height Plastic Surgery Clinic utilizes the Tulip fat grafting system, featuring an optimized workflow from fat harvesting to injection.
✅ Customized Harvesting Cannulas: Tailored for specific areas
✅ Nano-Fat Filter: Ensures injection of nano-fat with a smooth texture
✅ Combined Hyperbaric Oxygen Therapy: Maximizes fat survival rate

🔗Increased Fat Graft Survival Rate Using Hyperbaric Oxygen Therapy
2) Technology Enhancing Survival Rate
Excessive suction pressure during fat harvesting can destroy cells, making it crucial to maintain appropriate syringe pressure. Additionally, the thenar muscle (thumb pad) provides more stable control than fingers for uniform fat grafting.
✅ Minimal Negative Pressure Fat Harvesting: Prevents Cell Damage
✅ Uniform Injection Method: Slowly Distribute 1cc at a Time


6. Before and After Fat Grafting Cases
✅ Case of Improving Under-Eye Hollows


✅ Case of Under-Eye Fat Grafting (Dark Circle Improvement)

✅ Case of Improving Forehead and Temporal Hollows

7. Conclusion: Checkpoints for Successful Fat Grafting
✅ Choose an Experienced Clinic – One with High Survival Rates
✅ Personalized Treatment – Consider Fat Harvesting & Injection Methods
✅ Predictable Fat Grafting – Utilize Nano-Fat & Combine with Hyperbaric Oxygen Therapy
Fat grafting is not merely about volume replacement; design considering facial balance is crucial.
At Noonopi Plastic Surgery, we perform fat grafting based on a systematic approach and proven surgical techniques.
If you have any questions, please contact via 🔗WhatsApp consultation!
- No related posts.